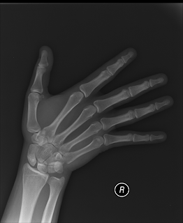
i was in the pool at the xmas party, it was snowing, i got out the pool, the stairs were iced, i slipped... fell on my wrist, broke the ligament joining the thumb 2 the wrist!
i had x-rays & a MRI

if u click on the image it becomes full size

there is me standing next 2 the MRI machine, im holding a key that is "floating" because of the strong electro magnet behind me!

sitting on the MRI

lying on the MRI
theres the video of me getting my cast put on!

& like i said in the video, im @ a bar/saloon playing pool! i won that game since Chris sunk the black!

& theres me about 2 kill a 16" pizza!
for the surgery, they knocked me out with a general anesthetic, cut my wrist open, stretched out the bones in my wrist & screwed a long screw that extends across my whole wrist & sticks out on both sides!
8weeks healing time & they say i will need therapy 2 learn how 2 use my thumb again!

1 comment:
Dimitri
In response to your LA blog I think I’d mention that in addition to burgers, hotdogs & beer you also had a couple of 'non-violent' home cooked meals which you actually seemed to enjoy.
Also, it’s worth noting that in the Staples Center shot you posted, Jack Nicholson can be seen (if one zooms in on the shot) sitting court-side & to the right of the table, with black shirt and dark glasses on.
Post a Comment